39歲男腹痛以為胃脹氣!竟是膽結石惡化險死 醫曝壞死性胰臟炎危機
【記者王煌忠/台中報導】一名39歲許姓男子因上腹疼痛持續數日,誤以為只是胃脹氣未加理會,直到症狀惡化才就醫,經診斷竟為膽結石引發的壞死性胰臟炎,所幸在中國醫藥大學附設醫院多專科團隊合作下,採行國際主流「延遲介入、優先微創」四階段整合治療策略,成功控制病情並完成微創手術,許男術後恢復良好,已回歸正常生活。
中醫大附醫一般外科醫師鄭智忠表示,許姓男子過去無胰臟疾病病史,初期僅出現上腹疼痛,未料病情迅速惡化,經檢查確認為膽結石阻塞胰管,引發急性且嚴重的壞死性胰臟炎,屬高風險重症,醫療團隊隨即啟動整合照護機制,由內科、外科及放射診療科跨科合作,分階段進行治療。
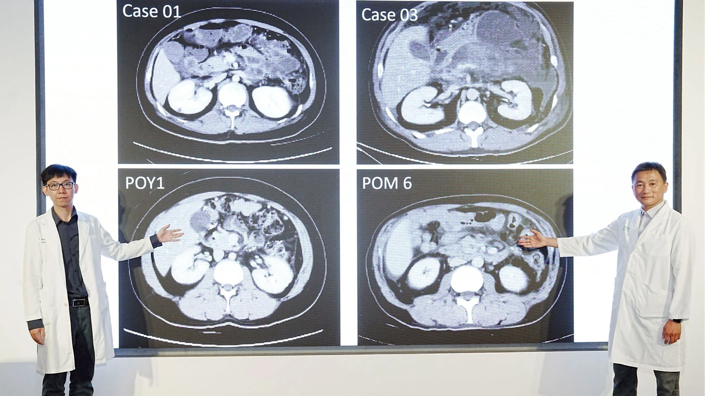
鄭智忠指出,壞死性胰臟炎病程變化快速,治療過程可能出現脾動脈出血或內視鏡支架穿孔等致命併發症,對醫療團隊判斷與應變能力是一大挑戰。過去多採傳統開腹清創手術,不僅創傷大,也增加感染與併發症風險;現今則導入「延遲介入、優先微創」策略,顯著改善預後。
院方表示,所謂四階段整合治療,首先在急性期以積極輸液、建立腸道營養及精準止痛為主,穩定患者生命徵象;待病況穩定後,再透過影像導引進行經皮引流,降低感染與內部壓力。接續由消化內科視病灶位置,進行內視鏡透壁引流,並置入金屬支架,以低侵襲方式處理壞死組織;最後再由外科團隊執行影像輔助的後腹腔微創清創手術,以小切口精準移除壞死組織,兼顧安全與療效。
醫師葉俊杰指出,急性胰臟炎為常見急症,台灣每10萬人約有37人發生,其中約七成與膽結石相關,另有部分與酗酒或高三酸甘油脂有關;約兩成患者可能惡化為壞死性胰臟炎。一旦併發感染及多重器官衰竭,死亡率可達60%。
葉俊杰率領的醫療團隊,去年就收治7名重症壞死性胰臟炎患者,平均年齡約52歲,皆屬感染高風險族群。經跨科別採行上述整合治療後,已有5人順利康復出院,其餘2人持續追蹤治療中,整體存活率較傳統治療模式顯著提升。
外科部主任柯道維表示,未來將持續深化多專科整合照護模式,結合臨床經驗與國際治療趨勢,提供中部地區重症患者更完整且安全的醫療服務。葉俊杰提醒,民眾若已知有膽結石問題,應及早與醫師討論手術或介入治療時機,避免延誤處置而導致病情惡化,甚至引發致命危機。

